# XrayGLM

GitHub Contributors GitHub Contributors
GitHub Contributors Issues GitHub pull requests

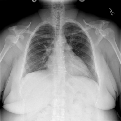
# 本文贡献 ![](./assets/images/xrayglm.png) - 借助ChatGPT以及公开的数据集,我们构造了一个`X光影像-诊断报告`对的医学多模态数据集; # 数据集 - [MIMIC-CXR](https://physionet.org/content/mimic-cxr-jpg/2.0.0/)是一个公开可用的胸部X光片数据集,包括377,110张图像和227,827个相关报告。 - [OpenI](https://openi.nlm.nih.gov/faq#collection)是一个来自印第安纳大学医院的胸部X光片数据集,包括6,459张图像和3,955个报告。 在上述工作中,报告信息都为非结构化的,不利于科学研究。为了生成合理的医学报告,我们对两个数据集进行了预处理,并最终得到了可以用于训练的**英文报告**。除此之外,为了更好的支持中文社区发展,借助ChatGPT的能力,我们将英文报告进行了中文翻译,并最终形成了可用于训练的数据集。 |数据集|数量|下载链接| |:-|:-|:-| |MIMIC-CXR-zh|-|-| |OpenI-zh|6,423|[诊疗报告](./data/Xray/openi-zh.json) 、[X光影像](https://pan.baidu.com/s/13GBsDMKf6xBZBSHpoWH_EA?pwd=k9sh)| # 快速上手 1. 安装环境 ```bash # 安装依赖 pip install -r requirements.txt # 国内换源安装依赖 pip install -i https://mirrors.aliyun.com/pypi/simple/ -r requirements.txt ``` 此时默认会安装`deepspeed`库(支持`sat`库训练),此库对于模型推理并非必要,同时部分`Windows`环境安装此库时会遇到问题。 如果想绕过`deepspeed`安装,我们可以将命令改为: ```bash # 安装依赖 pip install -i https://mirrors.aliyun.com/pypi/simple/ -r requirements_wo_ds.txt # 安装SwissArmyTransformer pip install -i https://mirrors.aliyun.com/pypi/simple/ --no-deps "SwissArmyTransformer>=0.3.6" ``` 2. 模型推理 # 效果展示 |X光影像|诊疗报告(医生)|XrayGLM| |:-|:-|:-| |![](./data/Xray/2_1.png)|根据X射线图像,心脏大小正常,肺部看起来很清晰。已经排除了肺炎、积液、水肿、气胸、腺病、结节或肿块的存在。该发现表明一切正常。换句话说,总体印象是胸部正常。|X光片显示,心脏大小正常。肺部没有气胸或胸腔积液的证据。骨骼结构看起来没有任何异常。总的来说,X光片表明没有发现急性心肺疾病的迹象。| # 项目致谢 1. [VisualGLM-6B](https://github.com/THUDM/VisualGLM-6B)为我们提供了基础的代码参考和实现; 2. [MiniGPT-4](https://github.com/Vision-CAIR/MiniGPT-4)为我们这个项目提供了研发思路; 3. ChatGPT生成了高质量的中文版X光检查报告以支持XrayGLM训练; 4. [gpt_academic](https://github.com/binary-husky/gpt_academic)为文档翻译提供了多线程加速; 5. [MedCLIP](https://github.com/RyanWangZf/MedCLIP) 、[BLIP2](https://huggingface.co/docs/transformers/main/model_doc/blip-2) 、[XrayGPT](https://github.com/mbzuai-oryx/XrayGPT) 等工作也有重大的参考意义; ![](./assets/images/mpu.png) 这项工作由[澳门理工大学应用科学学院](https://www.mpu.edu.mo/esca/zh/index.php)硕士生[王荣胜](https://github.com/WangRongsheng) 、[段耀菲](https://github.com/IsBaSO4) 、[李俊蓉](https://github.com/lijunrong0815)完成,同时这项工作受到[檀韬](https://scholar.google.com/citations?hl=zh-CN&user=lLg3WRkAAAAJ)副教授、[彭祥佑](http://www.patrickpang.net/)老师的帮助支持。 *特别鸣谢:[USTC-PhD Yongle Luo](https://github.com/kaixindelele) 提供了有3000美金的OpenAI账号,帮助我们完成大量的X光报告翻译工作 # 免责声明 本项目相关资源仅供学术研究之用,严禁用于商业用途。使用涉及第三方代码的部分时,请严格遵循相应的开源协议。模型生成的内容受模型计算、随机性和量化精度损失等因素影响,本项目无法对其准确性作出保证。即使本项目模型输出符合医学事实,也不能被用作实际医学诊断的依据。对于模型输出的任何内容,本项目不承担任何法律责任,亦不对因使用相关资源和输出结果而可能产生的任何损失承担责任。 # 项目引用 如果你使用了本项目的模型,数据或者代码,请声明引用: ```bash @misc{wang2023XrayGLM, title={XrayGLM: The first Chinese Medical Multimodal Model that Chest Radiographs Summarization}, author={Rongsheng Wang, Yaofei Duan, Junrong Li, Patrick Pang and Tao Tan}, year={2023}, publisher = {GitHub}, journal = {GitHub repository}, howpublished = {\url{https://github.com/WangRongsheng/XrayGLM}}, } ``` # 使用许可 此存储库遵循[CC BY-NC-SA](https://creativecommons.org/licenses/by-nc-sa/4.0/) ,请参阅许可条款。