# XrayGLM
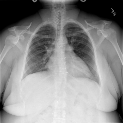
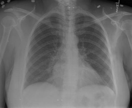
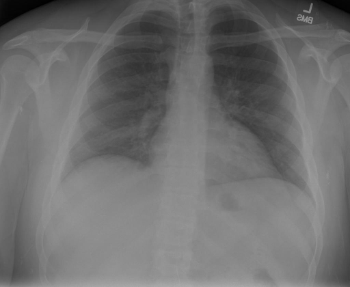
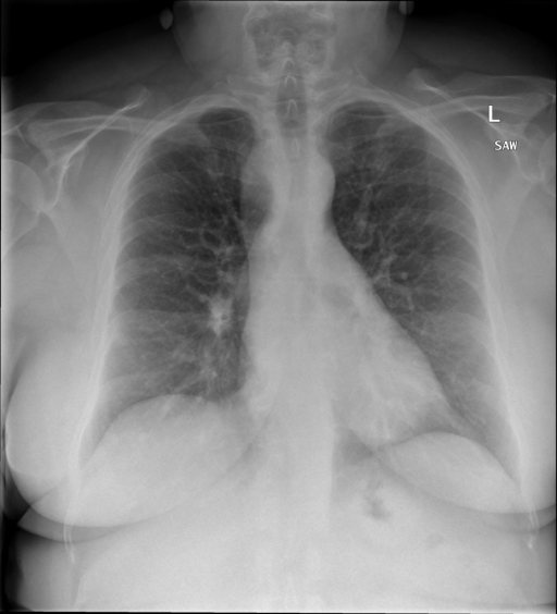
# 本文贡献  - 借助ChatGPT以及公开的数据集,我们构造了一个`X光影像-诊断报告`对的医学多模态数据集; # 数据集 - [MIMIC-CXR](https://physionet.org/content/mimic-cxr-jpg/2.0.0/)是一个公开可用的胸部X光片数据集,包括377,110张图像和227,827个相关报告。 - [OpenI](https://openi.nlm.nih.gov/faq#collection)是一个来自印第安纳大学医院的胸部X光片数据集,包括6,459张图像和3,955个报告。 在上述工作中,报告信息都为非结构化的,不利于科学研究。为了生成合理的医学报告,我们对两个数据集进行了预处理,并最终得到了可以用于训练的**英文报告**。除此之外,为了更好的支持中文社区发展,借助ChatGPT的能力,我们将英文报告进行了中文翻译,并最终形成了可用于训练的数据集。 |数据集|数量|下载链接| |:-|:-|:-| |MIMIC-CXR-zh|-|-| |OpenI-zh|6,423|[诊疗报告](./data/Xray/openi-zh.json) 、[X光影像](https://pan.baidu.com/s/13GBsDMKf6xBZBSHpoWH_EA?pwd=k9sh)| # 快速上手 1. 安装环境 ```bash # 安装依赖 pip install -r requirements.txt # 国内换源安装依赖 pip install -i https://mirrors.aliyun.com/pypi/simple/ -r requirements.txt ``` 此时默认会安装`deepspeed`库(支持`sat`库训练),此库对于模型推理并非必要,同时部分`Windows`环境安装此库时会遇到问题。 如果想绕过`deepspeed`安装,我们可以将命令改为: ```bash # 安装依赖 pip install -i https://mirrors.aliyun.com/pypi/simple/ -r requirements_wo_ds.txt # 安装SwissArmyTransformer pip install -i https://mirrors.aliyun.com/pypi/simple/ --no-deps "SwissArmyTransformer>=0.3.6" ``` 2. 模型推理 CLI推理: ```python python cli_demo.py --from_pretrained checkpoints/finetune-XrayGLM-05-25-01-04 --prompt_zh '详细描述这张胸部X光片的诊断结果' ``` 更多[参数](https://github.com/WangRongsheng/XrayGLM/blob/main/cli_demo.py#L16) # 效果展示 诊断: |X光影像|诊疗报告(医生)|XrayGLM| |:-|:-|:-| ||根据X射线图像,心脏大小正常,肺部看起来很清晰。已经排除了肺炎、积液、水肿、气胸、腺病、结节或肿块的存在。该发现表明一切正常。换句话说,总体印象是胸部正常。|X光片显示,心脏大小正常。肺部没有气胸或胸腔积液的证据。骨骼结构看起来没有任何异常。总的来说,X光片表明没有发现急性心肺疾病的迹象。| ||X光图片显示没有扭曲的区域、可疑的骨质不透明度或胸腺积液。心脏大小轻微增大,但非常稳定。此外,没有气胸的证据,肺野也正常。总体来说,X光片显示没有急性心脏异常,但要注意轻微的心脏扩大。|X光片显示,心脏大小正常。肺部和纵隔轮廓清晰,没有气胸或胸腔积液的证据。骨骼结构完整,没有任何急性异常。| ||心影形态在正常范围内。没有急性骨质异常。有可能出现没有明显的吸水或肺实质状况的线索。没有大面积积液或气胸。有可能怀疑其有误吸或肺实质问题。为了确诊和治疗,可能需要进行适当的影像学随访。|心脏大小正常,肺部和纵隔轮廓清晰。没有急性异常或活动受限的证据。没有任何明显的气胸、胸腔积液或肺不张的迹象。此外,也没有发现任何局灶性骨质异常或其他急性疾病。| 多轮对话: |X光影像|诊疗报告(医生)| |:-|:-| ||右侧主动脉突出观察到。心脏大小正常。胸部未发现明显的肺气肿、胸膜积液或可疑的肺部病变。报告指出已知右侧主动脉情况正常。| ```bash >> X光影像路径:./data/Xray/861_1.png >> 用户:这是一张什么图? >> XrayGLM:这张图片显示的是一张肺部检查的X光片。 >> 用户:请描述这张胸部X光片的诊断结果 >> XrayGLM:心脏大小正常,肺部清晰。没有急性心肺疾病的证据。 >> 用户:是否存在肺气肿? >> XrayGLM:没有肺气肿。心脏大小正常,肺部清晰。没有发现急性心肺疾病的证据。 >> 用户:平时饮食该注意什么? >> XrayGLM:饮食应该健康,均衡。建议增加蛋白质的摄入量,因为蛋白质有助于维持肌肉和骨骼的健康。多食用蔬菜、水果、全谷物以及健康的脂肪来源如橄榄油、鱼类等可以帮助获得足够的维生素和矿物质。此外,避免过度饮酒或吸烟,这些习惯可能会对心脏健康产生负面影响。 ``` # 项目致谢 1. [VisualGLM-6B](https://github.com/THUDM/VisualGLM-6B)为我们提供了基础的代码参考和实现; 2. [MiniGPT-4](https://github.com/Vision-CAIR/MiniGPT-4)为我们这个项目提供了研发思路; 3. ChatGPT生成了高质量的中文版X光检查报告以支持XrayGLM训练; 4. [gpt_academic](https://github.com/binary-husky/gpt_academic)为文档翻译提供了多线程加速; 5. [MedCLIP](https://github.com/RyanWangZf/MedCLIP) 、[BLIP2](https://huggingface.co/docs/transformers/main/model_doc/blip-2) 、[XrayGPT](https://github.com/mbzuai-oryx/XrayGPT) 等工作也有重大的参考意义;  这项工作由[澳门理工大学应用科学学院](https://www.mpu.edu.mo/esca/zh/index.php)硕士生[王荣胜](https://github.com/WangRongsheng) 、[段耀菲](https://github.com/IsBaSO4) 、[李俊蓉](https://github.com/lijunrong0815)完成,指导老师为檀韬副教授、[彭祥佑](http://www.patrickpang.net/)老师。 *特别鸣谢:[USTC-PhD Yongle Luo](https://github.com/kaixindelele) 提供了有3000美金的OpenAI账号,帮助我们完成大量的X光报告翻译工作 # 免责声明 本项目相关资源仅供学术研究之用,严禁用于商业用途。使用涉及第三方代码的部分时,请严格遵循相应的开源协议。模型生成的内容受模型计算、随机性和量化精度损失等因素影响,本项目无法对其准确性作出保证。即使本项目模型输出符合医学事实,也不能被用作实际医学诊断的依据。对于模型输出的任何内容,本项目不承担任何法律责任,亦不对因使用相关资源和输出结果而可能产生的任何损失承担责任。 # 项目引用 如果你使用了本项目的模型,数据或者代码,请声明引用: ```bash @misc{wang2023XrayGLM, title={XrayGLM: The first Chinese Medical Multimodal Model that Chest Radiographs Summarization}, author={Rongsheng Wang, Yaofei Duan, Junrong Li, Patrick Pang and Tao Tan}, year={2023}, publisher = {GitHub}, journal = {GitHub repository}, howpublished = {\url{https://github.com/WangRongsheng/XrayGLM}}, } ``` # 使用许可 此存储库遵循[CC BY-NC-SA](https://creativecommons.org/licenses/by-nc-sa/4.0/) ,请参阅许可条款。